Prise en charge pluri-disciplinaire
Médecin traitant
Addictologue
Cardiologue
Endocrinologue
Endodontiste
Orthodontiste
Omnipraticien (esthétique - prothèse supra-implantaire)
...
Dans certains cas, la maladie parodontale peut être complexe et affecter différents aspects de la santé bucco-dentaire. En intégrant des professionnels de différentes disciplines, tels que des endodontistes, des dentistes généraux, des hygiénistes dentaires, des orthodontistes, des prosthodontistes, etc., il est possible d'obtenir un diagnostic plus complet et précis.
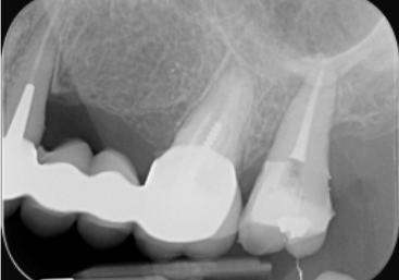
Endodontie




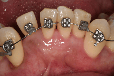
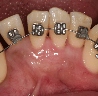
Orthodontie


Prothèse dentaire


Professionnels de la santé
Médecin traitant
Addictologue
Cardiologue
Endocrinologue
...
Adapté de Hajishengallis G. Local and systemic mechanisms linking periodontal disease and inflammatory comorbidities. Nat Rev Immunol. 2021
Contacts
dr.gandillot@gmail.com
