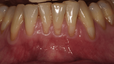
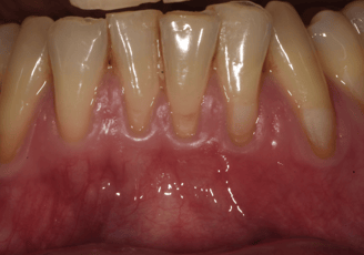
Les traitements
Voici les différents traitements susceptibles d'être mise en place lors d'une thérapeutique parodontale ou implantaire, et leurs explications.
Les traitements adéquats ainsi que leurs avantages et inconvénients vous serons présentés lors de la consultation pré-opératoire.


























