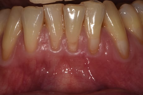
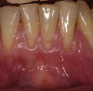
Greffe mucco-gingivale
Renforcer la gencive en hauteur et en épaisseur pour créer un tissu de protection suffisant pour une bonne stabilité de la ou des dent(s) concernée(s).
Recouvrir le plus possible la ou les racine(s) quand cela est possible.
(le recouvrement varie de 50 à 100 % en fonction de la position de la dent, de la perte d'os et de la quantité de gencive).
Il existe des techniques différentes, qui peuvent nécessiter de prélever du tissu au palais.


Comment se passe cette intervention ?
1. Application d'un gel anesthésiant.
2. Anesthésie douce localisée.
3. Préparation du site receveur.
4. Préparation du site donneur (généralement, le palais ou la tubérosité).
5. Adaptation du greffon sur le site receveur.
6. Mise en place de sutures.
Une ordonnance pré et/ou post-opératoire et des recommandations sont données et expliquées verbalement et par écrit.
Contacts
dr.gandillot@gmail.com
