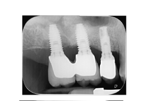
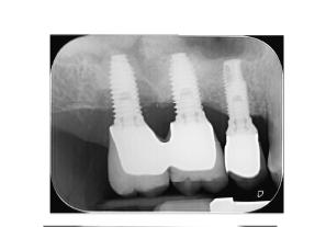
Péri-implantite
La péri-implantite est un déchaussement de l’implant, d’origine bactérienne comme la parodontite pour les dents.
La péri-implantite est une maladie courante, notamment chez les patients avec antécédents de parodontite.
Le meilleur moyen de prévenir la péri-implantite est de consciencieusement réaliser la maintenance parodontale et péri-implantaire.


Contacts
dr.gandillot@gmail.com
