Sinus lift
Augmenter la hauteur de l'os maxillaire dans la région postérieure de la mâchoire supérieure (maxillaire) afin de permettre la pose d'implants dentaires lorsque l'os existant est insuffisant en raison de la résorption osseuse ou de l'anatomie de la région.
Une quantité osseuse minimale est indispensable à la pose et à la pérennité d’un implant dentaire.
Dans certains cas d’insuffisance osseuse, il est nécessaire de reconstruire les volumes osseux manquants.
Une greffe osseuse pré-implantaire (avant le placement de l’implant dentaire) ou peri-implantaire (en même temps que le placement de l’implant) doit alors être réalisée.
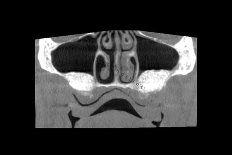
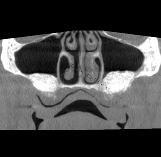
Les sinus sont des cavités dans l’os du massif facial, au-dessus des prémolaires et des molaires.
Après extraction des prémolaires et molaires maxillaires, la hauteur osseuse disponible sous le sinus maxillaire n’est souvent pas suffisante pour insérer un implant dentaire.
Il est nécessaire de surélever le plancher sinusien, cette procédure est également appelée sinus lift ou greffe osseuse sous-sinusienne.
Après avoir créé un accès osseux latéral, la membrane à l’intérieur du sinus est soulevée délicatement et un biomatériau est mis en place pour la maintenir dans la position souhaitée.
Cela créé un espace d’ossification, dans lequel ce sont les cellules osseuses qui reforment l’os manquant.
Une quantité suffisante d’os est généralement constitué en 6 mois.


Comment se passe cette intervention ?
Application d'un gel anesthésiant.
Anesthésie douce localisée.
Incision à l'endroit concernée
Ouverture d'une petite fenêtre dans la paroi résiduelle de l'os, de moins d'un cm de long en fonction des sites.
décollement de la membrane de Schneider (muqueuse sinusienne).
Mise en place de biomatériau.
Sutures
Une ordonnance pré et/ou post-opératoire et des recommandations sont données et expliquées verbalement et par écrit.
Contacts
dr.gandillot@gmail.com
